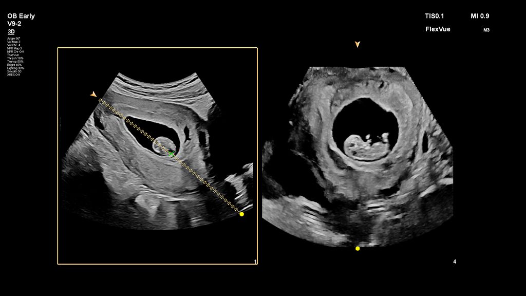
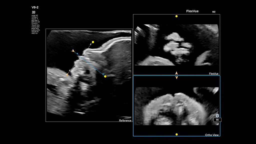
Demonstrated results using FlexVue
It (FlexVue) takes all of the complications out of MPR and manipulation of a surface-rendered volume. By deploying a straight line or a curved trace or continuous trace, we can take a curved image, flatten it out and make it a single planar image.